Case of the Month
Patient C.C. is a 45 y.o. male who presented on an emergency basis with a chief complaint "I had a toothache over the weekend and thought it was because I had a cavity. I saw my dentist and had a filling done. I woke up this morning with severe pain and with my face swollen so I went back to my dentist and he said I had an abscess."
Medical History:
No reported history of any medical disorders. Drug allergies - None. No current medications.
Dental History:
Patient has a history regular dental treatment throughout life; visits GP biannually for examination & cleanings; Deep occlusal restoration placed one day previously; 5 day history of mild spontaneous pain in the maxillary right quadrant; 1 day history of intraoral and extraoral buccal space swelling adjacent to tooth # 3; Pain to percussion, palpation and biting pressure.
Clinical Examination:
- Tooth # 2: Endo Ice - normal, percussion - normal, palpation - normal,
Tooth sleuth – normal. Perio probings all 3 mm or less.
- Tooth # 3: Endo Ice – no response, percussion – moderately painful, palpation – positive
Tooth sleuth – mild pain to biting. Perio probings all 3 mm or less.
- Tooth # 4: Endo Ice - normal, percussion - normal, palpation – normal
Tooth sleuth – normal. Perio probings all 3 mm or less.
- Tooth # 5: Endo Ice - normal, percussion - normal, palpation – normal
Tooth sleuth – normal. Perio probings all 3 mm or less.
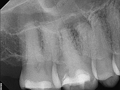
Radiographic Examination:
Tooth # 3 exhibits severe pulpal calcification, periapical radiolucencies associated with all 3 roots and severe dilaceration of the mesiobuccal root.
Diagnosis:
Tooth # 3 pulpal necrosis with acute apical abscess
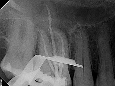
Treatment Plan:
Conventional non-surgical root canal therapy
Alternative treatment option: Extraction
Restorative: Cotton and Cavit. Patient to return to GP for full coverage restoration
Prognosis: Good
 
 
 
 
 
 
